Hỗ trợ: 0908.40.9899
Email: info@savietnam.vn
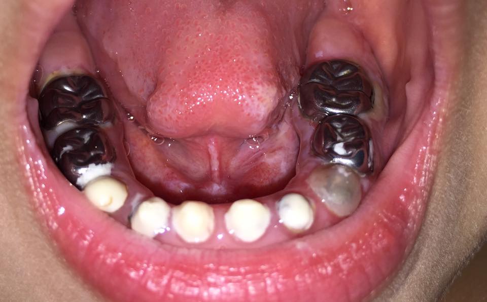
Chụp thép có sắn Kid Crown
Xuất xứ: Hàn Quốc
Quy cách: Bộ gồm 48 chụp thép có sẵn
📌Chụp thép trẻ em dùng để tái tạo những răng sữa bị vỡ quá lớn, dùng cho những miếng trám amalgam nhiều mặt, giúp răng tồn tại lâu trên cung hàm.
📌Ưu điểm của Chụp thép có sẵn là: Rất bền giúp bảo vệ và nâng đỡ tổ chức còn lại của răng. Tuy nhiên Chụp thép cũng không được sử dụng trong trường hợp chân răng sữa tiêu quá ½ chiều dài chân răng.
📌Chụp được sản xuất với nhiều kích thước khách nhau và cần điều chỉnh đường viền để sát khít với từng răng. Sản phẩm chụp thép của #KIDS_CROWN có 48 size khác nhau dễ dàng cho Nha sĩ lựa chọn.

📌Chụp thép có sẵn dùng trong các trường hợp:
- Tái tạo răng sữa và răng vĩnh viễn trẻ bị râu răng quá lớn, sâu nhiều mặt
- Răng sữa và răng vĩnh viễn trẻ bị thiếu sản mẹ
- Tái tạo răng sữa sau khi đã điều trị tủy buồng hoặc tủy chân
- Phục hồi những răng có sự cố bất thường về di truyền như sin men bất toàn
- Tái tạo ở những trẻ tật nguyền hoặc những trẻ vệ sinh răng miệng kém, việc sử dụng một vật liệu khác có thể bị thất bại (như: Amalgam, composite, glass-ionomer cement, GIC cải tiến compemere)
- Làm trụ cho một bộ phận giữ khoảng hoặc một khí cụ chỉnh nha
- Điều trị tạm thời 1 răng bị gãy
📌Vật liệu gắn: Xi măng phosphate kẽm, polycarboxylate hoặc glassionomer. Nên sử dụng các loại GIC cải tiến để gắn chụp. Nếu dùng xi măng phosphate kẽm phải đặt 2 lớp vec-ni trên răng sống trước khi gắn
➡️➡️➡️So với các loại vật liệu thông thường khách, chụp thép có sẵn có nhiều ưu điểm để phục hồi răng hàm sữa như: rất bền, bảo vệ và nâng đỡ được múi còn lại của răng, phục hồi được hình dáng thân răng dễ dàng,diện tích tiếp xúc so với các răng bên tốt, tránh được hiện tượng dắt thức rất phiền toái cho trẻ, hiệu quả kinh tế cao, tiết kiệm được nhiều thời gian cho bệnh nhân và các Bác sĩ Răng hàm mặt, kỹ thuật đơn giản. Do vậy, chúng ta nên chú ý tới vấn đề lựa chọn vật liệu, hơn nữa để sử dụng đúng và phù hợp giúp cho việc vảo vệ răng sữa cũng như các răng sữa và răng vĩnh viễn được tốt hơn.
Tư vấn đặt hàng Chụp thép lẻ và bộ chụp thép Hàn Quốc liên hệ 0908.40.9899 (Call/zalo)
Thông tin khác